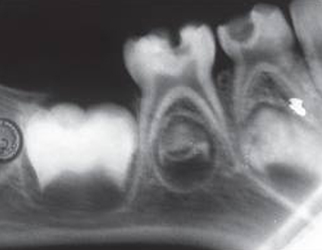
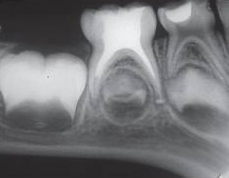
root canal endodontic treatment root canal endodontic treatment root canal endodontic treatment