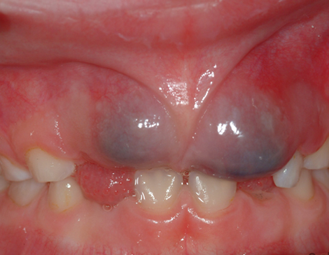
teething teething teething teething